精子质量下降、不孕不育、生育危机……近年来,围绕着生育困难的各种词汇频繁亮相。尽管没有统计数据证实“生育危机”的存在,但街头巷尾的议论中透露出这样的变化:如今,原本不是“事儿”的生育,变成了一个“难题”。
“我们的上一代,很容易就怀孕了,为什么现在这么难?”很多不孕不育的夫妇,都有过类似的疑惑,这样的现象,被称为“生育危机”。
“生育危机”真的出现了吗?
现代病
据了解,一般认为,育龄夫妇双方同居一年以上,有正常性生活,没有采用任何避孕措施的情况下,未能成功怀孕者称不孕症。虽能受孕但因种种原因导致流产、死胎而不能获得存活婴儿的称为不育症。
中国福利会国际和平妇幼保健院不孕不育诊治中心主任花琪告诉记者,近期我国尚没有大规模有关不孕不育的调查资料,但从之前的调查来看,我国的不孕不育发病率也就在5%左右,不会超过10%。
“那些认为不孕不育发病率有增加的人,可能是由于试管婴儿等治疗不孕不育的手段的发展,使得各大医院不孕不育就诊病人人满为患,治疗的人数比以前大大增加,以至于被人认为不孕不育的患者增加了。” 在花琪看来,目前全国没有一个大样本的调查来证实生育困难人群有扩大的趋势。
花琪告诉记者,输卵管阻塞是女性不孕的主要原因,另一方面,卵巢因素引起的不孕约占不孕症的15%~25%。由于有关内分泌疾病的认识及检查技术不断进展,使得卵巢功能不全所致不孕的诊断率有所提高。
“除此之外,还有一些器质性的疾病引起的不孕不育,如外阴阴道感染、子宫内膜炎等。”花琪说,“而男性不孕的原因,主要还是出在‘精子’上,不是因为自身不能产生精子、不能将精子输送进子宫颈,就是因为精液质量太差,如死精子症、精子无能等。”
记者了解到,在前往就诊的不孕不育症患者里还有10%左右是男女双方均未发现明显不孕原因。
“近年来,我们认为这可能与免疫因素有关。在某些不孕妇女的血清中发现含有抗精子的抗体。此种抗体与精液能发生凝集反应,这些不孕夫妇如用避孕套避孕一段时间后能使这些抗体消失而妊娠。其他原因有夫妇双方血型不合,性染色体畸变等。”花琪补充道。
对此,上海市第一妇婴保健院生殖医学中心主任滕晓明则表示,现代社会竞争激烈,工作生活节奏加快,许多白领经常熬夜加班,精神经常处于紧张状态,对于女性来说,不仅会引起植物神经功能紊乱,也会影响性激素的分泌,从而造成生殖功能失调,造成女性不孕症;对于男性,则影响精子的生成、成熟和活动能力,使精子质量下降。
“同时,那些因事业想一再推迟结婚、生育的职业女性,一旦错过生育最佳年龄(25岁-30岁),女性就将面临卵子老化、排卵率降低、不易受孕等情况。超过35岁再生育,高龄产妇婴儿畸形的发生率也随之升高。”滕晓明认为,随着性观念的开放,过多的人流也是导致不孕不育率升高的原因之一。
另外,滕晓明特别强调,环境的污染也不容忽视。除了那些看得见的污染,“环境内分泌干扰物”更像是一个潜在的杀手。“有关环境内分泌干扰物,国外的研究已经相对成熟。它对男女生殖都有影响,研究表明,可能是引起多囊卵巢综合征等女性不孕不育的重要原因,也可以影响男性睾丸发育障碍,生精障碍,引起少精症、弱精症,甚至引起无精症。”
据悉,导致不孕不育的原因中目前难以解决的问题有:先天性无子宫、无阴道,性腺发育不全,卵巢早衰,染色体异常以及男性性腺发育不全,还有部分非梗阻性无精症等。
真假告急
引发新一轮“生育危机”讨论的原因,是2012年9月初,一则关于“广东精子库告急”的消息。据广州媒体报道,目前到广东省人类精子库捐精者当中95%以上是大学生。而早前河南省精子库主任李玉山在接受媒体采访时也曾表示,河南省人类精子库“捐精主力”是大学生,但“遗憾的是,精子的合格率不足20%”。
与此同时,有医学专家指出,“上世纪50年代男性的精子质量远远优于现在,现在十对夫妻就有一对生育有问题,有的患者甚至80%~90%全是死精的情况。”
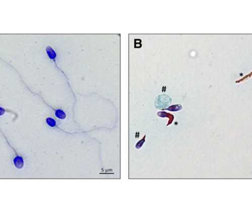
这一点从世界卫生组织(WHO)有关精子质量检测标准的变化上也可见端倪:1999年的第四版中规定,每毫升精液里不得少于2000万精子算合格,而2010年第五版,精子密度则变成了每毫升精液精子含量不得小于1500万,其中精子的正常形态率也从之前的不低于15%下降到了4%。
另据媒体报道,同样作为人类生殖储备库,卵子告急的情况比精子库还要严重得多——辅助生殖中心基本无可供“她用”的卵子,部分想“借卵生子”的夫妇苦等几年也难以圆梦。
关乎人类繁衍的两大关键——精子与卵子,似乎从未面对如此艰难而尴尬的境地。想要生个健康宝宝,对许多人而言,并不容易。
为了印证“精子库告急”的说法,记者日前探访了上海市人类精子库,像这家精子库一样获得卫生部门正式审批的人类精子库,在中国大陆共有15家。
李铮教授是中华医学会生殖医学分会委员兼人类精子库学组委员,现任上海市人类精子库的主任。按照他的说法,从全球范围来看,人类对精子的需求量正在不断提高。但就我国精子库的精液生产量,“尤其是上海,基本满足社会的需求,不存在告急一说。”
对于这次“精子库告急”的说法,李铮的解释为,由于精液冷冻储存过程中会有损失,精子库对于捐献者精液的要求较之正常生育力水平的参数要求会更高,“目前捐精筛查的合格率大约为八分之一至五分之一,对于捐精的精子我们要求‘优中选优’。”
以上海现实情况为例,到精子库志愿捐献精子者中,在校大学生及大专以上学历的年轻人占80%以上,真正能通过体检、得到捐献机会的人并不多,也就差不多15%至20%左右,这属于正常比例。
即便精子质量下降,技术上的进步也正在试图弥补这一损失。李铮透露,目前其团队已经在利用男性自身皮肤细胞“制造”精子的研究中取得初步成功,“这一技术若是成功,那些因无精症而饱受不育问题困扰的男士就很有希望通过这种新型人工干预手段实现为人父的梦想。”
给精子上个“保险”
事实上,中国对精子库和辅助生殖机构的管理越来越规范。1981年底,中国第一个“精子库”建立,到1990年代,辅助生殖技术高速发展。2001年8月1日,《人类精子库管理办法》和《人类辅助生殖技术管理办法》(以下简称“两个办法”)正式施行,办法颁布后,经批准的辅助生育技术中心数量从200多家,下降到100家以内。精子库的产业化被明令禁止。
据李铮介绍,目前精子库还是能提供生殖保险业务的机构,比如精子保存:有些人患有恶性肿瘤需化疗,或是工作环境受到强辐射,可提前保存高质量的精子,待生育时取出使用。采用深低温冷冻的方法,精子可以保存30年,精子库只每年适当收取一部分费用。
“捐精补助是非常微薄的,完成全部流程也就三五千元。但整个捐精周期较长,捐精者所花费的时间和精力都不是用钱可以衡量的,要将他们提供的爱心铭记在心!”李铮告诉记者。
对于网络流传的“捐精买房付首付”之说,李铮更是嗤之以鼻:“这简直是无稽之谈。按照我国对精子库和生殖中心的相关法律法规,精子是不能买卖的。一名捐精者一生只能在一家精子库进行精液捐赠,并且当一名捐精者的精液让5名妇女受孕,或者精液在精子库的储存量超过40支的时候,就不允许再捐精。想靠这点钱买房绝无可能。”
根据卫生部规定,人类精子库的精液只能给生殖中心使用,不允许进口和出口精液。捐精志愿者只能在中国大陆捐献一次,不能多次、多地重复捐献。实践中完成一次捐精流程,一般提取精液的次数不会超过10次。而全国各个精子库的资料都是联网共享的,绝不存在“捐了又捐”的可能。
据了解,从病因来看,两类辅助生殖手术需要精子库供精:第一,男方确实无精;第二,男方有遗传疾病,即使有精子,但不适合生育的,需要供精来生育健康的后代。
上海集爱遗传与不育诊疗中心副院长孙晓溪表示,面对需求量的快速增加,精子仍然是供不应求的状态。“现在,我们这儿需要供精的患者占5%,等候的时间平均为半年到一年左右。”
在中国,精子的采购者,必须身份证、结婚证和准生证三证齐全。不允许单身女性和同性恋者人工授精和做试管婴儿。
珍贵的“赠卵”
尽管需要排队,辅助生殖中需要的精子供给基本可以得到保障,但是,卵子却是排队也难等到,我国目前尚未建成真正意义上的卵子库。
上海市第一妇婴保健院妇产科专家邵敬於教授说,目前,对于这些渴望生育的女性来说,唯一可行的办法是“借用”另一正常女子的卵子,经体外人工授精后,将受精卵再移植入子宫内,以发育正常的后代。
据悉,2009年,北京大学第三医院生殖医学中针对就诊人群中卵巢功能减退致丧失生育能力的的现状,试图通过志愿捐卵行为,帮助相关家庭实现生育愿望。
当年7月,该中心筹建“卵子库”,一方面,从事危险职业者或需接受放化疗等治疗的患者等,可

北京朝阳医院成立以来,医院陆续增加了很多试管婴儿专家和主治医生。每个医生都有自己的特点和技能。有的医生擅长卵巢早衰,有的医生擅长子宫内膜异位症。因为医生擅长的领域不同,所以不可能说哪个医生的技术更好。建议大家在选择医生的时候结合自己的身体条件。
所谓选医生,要根据自己的身体状况。其实就是先体检再选医生,然后根据自己的身体状况选医生。以下是一些医生及其专业领域:
| 医生名 | 擅长领域 |
| 李媛 | 生殖分泌性、输卵管疾病、免疫性不孕、子宫内膜异位症、试管婴儿 |
| 曲丹妮 | 不孕症、月经不调、妇科内分泌性、免疫性不孕、子宫内膜异位症 |
| 吴龙 | 妇产科常见病、输卵管不通、卵巢早衰、宫腔镜、子宫内膜疾病 |
| 马帅 | 辅助生殖 |
| 刘姗 | 多囊卵巢综合征、子宫内膜异位症等妇科内分泌疾病 |
| 李丽 | 促排卵、人工授精、试管婴儿、试管婴儿 |
精子质量下降、不孕不育、生育危机……近年来,围绕着生育困难的各种词汇频繁亮相。尽管没有统计数据证实“生育危机”的存在,但街头巷尾的议论中透露出这样的变化:如今,原本不是“事儿”的生育,变成了一个“难题”。
“我们的上一代,很容易就怀孕了,为什么现在这么难?”很多不孕不育的夫妇,都有过类似的疑惑,这样的现象,被称为“生育危机”。
“生育危机”真的出现了吗?
现代病
据了解,一般认为,育龄夫妇双方同居一年以上,有正常性生活,没有采用任何避孕措施的情况下,未能成功怀孕者称不孕症。虽能受孕但因种种原因导致流产、死胎而不能获得存活婴儿的称为不育症。
中国福利会国际和平妇幼保健院不孕不育诊治中心主任花琪告诉记者,近期我国尚没有大规模有关不孕不育的调查资料,但从之前的调查来看,我国的不孕不育发病率也就在5%左右,不会超过10%。
“那些认为不孕不育发病率有增加的人,可能是由于试管婴儿等治疗不孕不育的手段的发展,使得各大医院不孕不育就诊病人人满为患,治疗的人数比以前大大增加,以至于被人认为不孕不育的患者增加了。” 在花琪看来,目前全国没有一个大样本的调查来证实生育困难人群有扩大的趋势。
花琪告诉记者,输卵管阻塞是女性不孕的主要原因,另一方面,卵巢因素引起的不孕约占不孕症的15%~25%。由于有关内分泌疾病的认识及检查技术不断进展,使得卵巢功能不全所致不孕的诊断率有所提高。
“除此之外,还有一些器质性的疾病引起的不孕不育,如外阴阴道感染、子宫内膜炎等。”花琪说,“而男性不孕的原因,主要还是出在‘精子’上,不是因为自身不能产生精子、不能将精子输送进子宫颈,就是因为精液质量太差,如死精子症、精子无能等。”
记者了解到,在前往就诊的不孕不育症患者里还有10%左右是男女双方均未发现明显不孕原因。
“近年来,我们认为这可能与免疫因素有关。在某些不孕妇女的血清中发现含有抗精子的抗体。此种抗体与精液能发生凝集反应,这些不孕夫妇如用避孕套避孕一段时间后能使这些抗体消失而妊娠。其他原因有夫妇双方血型不合,性染色体畸变等。”花琪补充道。
对此,上海市第一妇婴保健院生殖医学中心主任滕晓明则表示,现代社会竞争激烈,工作生活节奏加快,许多白领经常熬夜加班,精神经常处于紧张状态,对于女性来说,不仅会引起植物神经功能紊乱,也会影响性激素的分泌,从而造成生殖功能失调,造成女性不孕症;对于男性,则影响精子的生成、成熟和活动能力,使精子质量下降。
“同时,那些因事业想一再推迟结婚、生育的职业女性,一旦错过生育最佳年龄(25岁-30岁),女性就将面临卵子老化、排卵率降低、不易受孕等情况。超过35岁再生育,高龄产妇婴儿畸形的发生率也随之升高。”滕晓明认为,随着性观念的开放,过多的人流也是导致不孕不育率升高的原因之一。
另外,滕晓明特别强调,环境的污染也不容忽视。除了那些看得见的污染,“环境内分泌干扰物”更像是一个潜在的杀手。“有关环境内分泌干扰物,国外的研究已经相对成熟。它对男女生殖都有影响,研究表明,可能是引起多囊卵巢综合征等女性不孕不育的重要原因,也可以影响男性睾丸发育障碍,生精障碍,引起少精症、弱精症,甚至引起无精症。”
据悉,导致不孕不育的原因中目前难以解决的问题有:先天性无子宫、无阴道,性腺发育不全,卵巢早衰,染色体异常以及男性性腺发育不全,还有部分非梗阻性无精症等。
真假告急
引发新一轮“生育危机”讨论的原因,是2012年9月初,一则关于“广东精子库告急”的消息。据广州媒体报道,目前到广东省人类精子库捐精者当中95%以上是大学生。而早前河南省精子库主任李玉山在接受媒体采访时也曾表示,河南省人类精子库“捐精主力”是大学生,但“遗憾的是,精子的合格率不足20%”。
与此同时,有医学专家指出,“上世纪50年代男性的精子质量远远优于现在,现在十对夫妻就有一对生育有问题,有的患者甚至80%~90%全是死精的情况。”
这一点从世界卫生组织(WHO)有关精子质量检测标准的变化上也可见端倪:1999年的第四版中规定,每毫升精液里不得少于2000万精子算合格,而2010年第五版,精子密度则变成了每毫升精液精子含量不得小于1500万,其中精子的正常形态率也从之前的不低于15%下降到了4%。
另据媒体报道,同样作为人类生殖储备库,卵子告急的情况比精子库还要严重得多——辅助生殖中心基本无可供“她用”的卵子,部分想“借卵生子”的夫妇苦等几年也难以圆梦。
关乎人类繁衍的两大关键——精子与卵子,似乎从未面对如此艰难而尴尬的境地。想要生个健康宝宝,对许多人而言,并不容易。
为了印证“精子库告急”的说法,记者日前探访了上海市人类精子库,像这家精子库一样获得卫生部门正式审批的人类精子库,在中国大陆共有15家。
李铮教授是中华医学会生殖医学分会委员兼人类精子库学组委员,现任上海市人类精子库的主任。按照他的说法,从全球范围来看,人类对精子的需求量正在不断提高。但就我国精子库的精液生产量,“尤其是上海,基本满足社会的需求,不存在告急一说。”
对于这次“精子库告急”的说法,李铮的解释为,由于精液冷冻储存过程中会有损失,精子库对于捐献者精液的要求较之正常生育力水平的参数要求会更高,“目前捐精筛查的合格率大约为八分之一至五分之一,对于捐精的精子我们要求‘优中选优’。”
以上海现实情况为例,到精子库志愿捐献精子者中,在校大学生及大专以上学历的年轻人占80%以上,真正能通过体检、得到捐献机会的人并不多,也就差不多15%至20%左右,这属于正常比例。
即便精子质量下降,技术上的进步也正在试图弥补这一损失。李铮透露,目前其团队已经在利用男性自身皮肤细胞“制造”精子的研究中取得初步成功,“这一技术若是成功,那些因无精症而饱受不育问题困扰的男士就很有希望通过这种新型人工干预手段实现为人父的梦想。”
给精子上个“保险”
事实上,中国对精子库和辅助生殖机构的管理越来越规范。1981年底,中国第一个“精子库”建立,到1990年代,辅助生殖技术高速发展。2001年8月1日,《人类精子库管理办法》和《人类辅助生殖技术管理办法》(以下简称“两个办法”)正式施行,办法颁布后,经批准的辅助生育技术中心数量从200多家,下降到100家以内。精子库的产业化被明令禁止。
据李铮介绍,目前精子库还是能提供生殖保险业务的机构,比如精子保存:有些人患有恶性肿瘤需化疗,或是工作环境受到强辐射,可提前保存高质量的精子,待生育时取出使用。采用深低温冷冻的方法,精子可以保存30年,精子库只每年适当收取一部分费用。
“捐精补助是非常微薄的,完成全部流程也就三五千元。但整个捐精周期较长,捐精者所花费的时间和精力都不是用钱可以衡量的,要将他们提供的爱心铭记在心!”李铮告诉记者。
对于网络流传的“捐精买房付首付”之说,李铮更是嗤之以鼻:“这简直是无稽之谈。按照我国对精子库和生殖中心的相关法律法规,精子是不能买卖的。一名捐精者一生只能在一家精子库进行精液捐赠,并且当一名捐精者的精液让5名妇女受孕,或者精液在精子库的储存量超过40支的时候,就不允许再捐精。想靠这点钱买房绝无可能。”
根据卫生部规定,人类精子库的精液只能给生殖中心使用,不允许进口和出口精液。捐精志愿者只能在中国大陆捐献一次,不能多次、多地重复捐献。实践中完成一次捐精流程,一般提取精液的次数不会超过10次。而全国各个精子库的资料都是联网共享的,绝不存在“捐了又捐”的可能。
据了解,从病因来看,两类辅助生殖手术需要精子库供精:第一,男方确实无精;第二,男方有遗传疾病,即使有精子,但不适合生育的,需要供精来生育健康的后代。
上海集爱遗传与不育诊疗中心副院长孙晓溪表示,面对需求量的快速增加,精子仍然是供不应求的状态。“现在,我们这儿需要供精的患者占5%,等候的时间平均为半年到一年左右。”
在中国,精子的采购者,必须身份证、结婚证和准生证三证齐全。不允许单身女性和同性恋者人工授精和做试管婴儿。
珍贵的“赠卵”
尽管需要排队,辅助生殖中需要的精子供给基本可以得到保障,但是,卵子却是排队也难等到,我国目前尚未建成真正意义上的卵子库。
上海市第一妇婴保健院妇产科专家邵敬於教授说,目前,对于这些渴望生育的女性来说,唯一可行的办法是“借用”另一正常女子的卵子,经体外人工授精后,将受精卵再移植入子宫内,以发育正常的后代。
据悉,2009年,北京大学第三医院生殖医学中针对就诊人群中卵巢功能减退致丧失生育能力的的现状,试图通过志愿捐卵行为,帮助相关家庭实现生育愿望。
当年7月,该中心筹建“卵子库”,一方面,从事危险职业者或需接受放化疗等治疗的患者等,可





